
Gum Health
Gum Boil: Causes, Symptoms, & Treatment
If you observe pimple-like bumps on your gums, these could be gum boils. This comprehensive guide will explore the underlying causes of gum boils, the symptoms you might encounter, and the various treatment options available.
KEY TAKEAWAYS
TABLE OF CONTENTS

TABLE OF CONTENTS
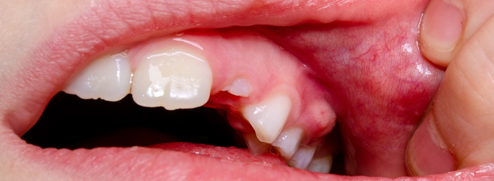
What Is a Gum Boil?

A gum boil constitutes a specific form of dental abscess, presenting as an inflamed bulge on the gums. While these can appear anywhere along the gumline, they are most frequently located near the root of a tooth. It's important to note that not all dental abscesses manifest as gum boils or signify an abscessed tooth.
The three primary categories of dental abscesses include gingival, periapical, and periodontal abscesses. Here is a brief overview of each:
- Gingival Abscess: This is a boil that originates from a gum infection and affects the gum tissue, rather than the surrounding teeth.
- Periapical Abscess: This involves a pocket of infection situated near the tip or apex of a tooth's root.
- Periodontal Abscess: This develops within the gum tissue adjacent to a tooth root. It differs from a gingival abscess because it has the potential to spread to the surrounding periodontal ligament and bone if left untreated.
Causes of Gum Boils
Gum boils commonly arise when bacteria gain entry through an opening in your gums or a cavity within your teeth. When this occurs, your body generates white blood cells to combat the infection, leading to localized swelling and pus formation.
Frequent causes of gum boils include:
- Poor Oral Hygiene Insufficient oral care can foster plaque buildup, which then allows tooth decay to progress and can result in an abscess, particularly a periapical abscess.
- Gum Disease Advanced stages of periodontal disease facilitate the formation of gum pockets, creating an easier pathway for bacteria to enter and initiate infection.
- Food Particles When food particles become lodged beneath your gums, they provide a fertile environment for bacteria to thrive. Common culprits include popcorn hulls, seeds, and other small food fragments.
- Mouth Trauma Injuries to the mouth, such as a chipped tooth or a laceration in the gum tissue, can create an entry point for bacteria.
- Irritation from Dentures If your dentures do not fit correctly, the resulting friction can trigger a gum boil. Adjusting and refitting them can alleviate rubbing and irritation.
- Underlying Health Conditions Occasionally, gum boils may be more likely to occur in individuals with underlying conditions that impair immune response or healing, such as malnutrition or a compromised immune system. However, gum boils themselves are caused by localized dental infections.
Symptoms of Gum Boils
Gum boils often appear as small, reddish bumps on your gums. You might also experience a sharp or throbbing pain and tenderness in the affected area, alongside discomfort when biting or chewing.
As the infection progresses, you could experience additional symptoms, including:
- Swelling of the gums or face
- Enlarged lymph nodes
- Redness in your gums
- Difficulty opening your mouth
- Unpleasant breath or a bad taste in your mouth
- Fever or chills (indicating advanced infections that have spread to deeper tissues)
Gum Boil Treatment Options
Gum boils are considered a dental emergency. If not treated, a gum boil can rupture, releasing pus into the mouth.
Potential complications of neglected gum boils include damage to oral tissues, bone loss in the jaw, and tooth loss. In severe scenarios, the infection could spread to other body parts, leading to conditions like sepsis, pneumonia, brain abscesses, heart problems, and potentially even death.
Therefore, it is crucial to consult your dentist immediately if you observe a gum boil. You may require one or more of the following treatments:
- Drainage: If your gum boil has not yet ruptured, your dentist may make an incision to drain the accumulated pus.
- Deep cleaning: Your dentist might advise a thorough cleaning of your gums and teeth to eliminate plaque and bacteria.
- Root Canal: If the infection has reached the tooth's pulp, a root canal may be necessary to preserve the tooth.
- Antibiotics: In certain situations, particularly if you have a fever or swollen lymph nodes, your dentist may prescribe a course of antibiotics to help eradicate the infection. Always take this medication as directed.
- Extraction: In severe cases, your dentist may need to remove your tooth. This becomes necessary if the tooth has an ongoing infection or irreparable damage.
Home Remedies for Gum Boils
Home remedies cannot cure gum boils and should not serve as a substitute for professional treatment. However, while you await your dental appointment, these solutions can offer temporary relief:
- Cold compress: Applying a cold compress to the affected area can temporarily reduce inflammation and swelling, and alleviate pain. Hold it for 10-15 minutes at a time.
- Over-the-counter pain medication: Over-the-counter pain relievers, such as acetaminophen or ibuprofen, can help manage mild discomfort. Always adhere to the recommended dosage instructions on the label.
Preventing Gum Boils
Preventing gum boils requires a two-pronged approach: diligent oral hygiene and consistent dental checkups with your dentist. Let's delve into each aspect more closely.
Maintain Good Oral Hygiene
Caring for your teeth and maintaining a clean mouth is the initial defense against oral health issues. Implement these practices to establish effective oral hygiene:
- Brush your teeth twice daily with an electric toothbrush.
- Utilize a dentist-recommended toothpaste containing stannous fluoride.
- Floss daily with traditional floss.
- Rinse with mouthwash to eliminate bacteria from your mouth.
- Consume a balanced diet and limit sugary foods.
Keep Your Mouth Clean with Crest and Oral-B
Healthy gums are indispensable for overall tooth and mouth health. In the presence of gum disease, the initial and most crucial step is to consult a dental professional. They can conduct a thorough examination, ascertain the severity of the disease, and recommend appropriate treatments. However, there are also proactive measures you can take.
- Toothpastes containing stannous fluoride, like the Crest Gum Detoxify Toothpaste line, are formulated to target and neutralize the harmful plaque bacteria that accumulate around the gumline and cause gingivitis.
- Some mouth rinses, such as Crest Pro-Health Multi-Protection Mouthwash, are clinically proven to offer 24-hour protection against plaque and gingivitis when used twice daily.
- When you brush with Oral-B iO electric toothbrushes, their gentle micro-vibrations and smart pressure sensor help you achieve an effective clean while simultaneously protecting your gums. A study demonstrated that for individuals prone to gingival recession, an electric toothbrush proved to be a safe choice over a 36-month period.
- Selecting the right brush head also significantly contributes to effective cleaning without causing gum irritation. Therefore, complement your toothbrush with an advanced brush head, such as the Oral-B Gentle Care brush head, which is specifically designed for a gentle yet highly effective clean along the gumline.
- Seek a Dental floss that resists shredding and glides effortlessly into constricted areas, such as Oral-B Glide Pro-Health Comfort Plus Floss.
TABLE OF CONTENTS

TABLE OF CONTENTS
WE RECOMMEND
FAQs

Should I pop a gum boil?
Although you might be inclined to pop and drain your gum boil at home, it is vital to resist this urge. Popping a gum boil can spread the infection and worsen the problem. Instead, seek treatment from your dentist, who can safely drain the boil if necessary.

How long does a gum boil last?
Unfortunately, gum boils do not resolve on their own. They require professional treatment from a dentist to drain the pus and eliminate any infection. Without intervention, the boil can continue to grow and lead to more severe complications, such as sepsis.
Sources
- https://www.ncbi.nlm.nih.gov/books/NBK589664/
- https://www.sepsis.org/sepsisand/dental-health/
- https://www.veteranshealthlibrary.va.gov/3,40498
- Albert-Kiszely, A., et al. (2007) Comparison of the effects of cetylpyridinium chloride with an essential oil mouth rinse on dental plaque and gingivitis - a six-month randomized controlled clinical trial. Journal of Clinical Periodontology, 34(8), 658-67. https://doi.org/10.1111/j.1600-051X.2007.01103.x
- Ramji, N., et al. (2024). Effects of stannous fluoride dentifrice on gingival health and oxidative stress markers: a prospective clinical trial. BMC Oral Health, 24(1), 1019. https://doi.org/10.1186/s12903-024-04785-7
- Sutor, S., et al. (2025). Effect of a powered and a manual toothbrush in subjects susceptible to gingival recession: A 36-month randomized controlled clinical study. International Journal of Dental Hygiene, 23(1), 26–36. https://doi.org/10.1111/idh.12834
- Zou, Y., et al. (2024). A meta-analysis comparing toothbrush technologies on gingivitis and plaque. International Dental Journal, 74(1), 146-156. https://doi.org/10.1016/j.identj.2023.06.009


