
ORAL-HYGIENE
Dental Caries: Identifying Cavities, Their Development, and Treatment
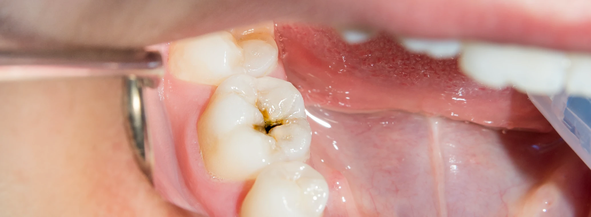
The appearance of a cavity can vary significantly depending on its severity and location. Common indicators include dark spots, often brown or black, or a noticeably rough or pitted texture on the tooth's surface.
In this guide, we will explore the distinct appearances of cavities at different stages of tooth decay and the symptoms you might experience, enabling early intervention. We'll also provide practical advice on cavity prevention and maintaining optimal oral health.
Key Takeaways
TABLE OF CONTENTS

TABLE OF CONTENTS
What Is a Cavity?
A cavity is a prevalent dental condition caused by tooth decay (dental caries). It develops when bacteria in the mouth feed on sugars from food and drinks and produce acids that gradually demineralize and weaken the enamel, the tooth’s protective outer layer. As this decay progresses, the enamel breaks down, allowing the damage to extend into the softer dentin beneath, eventually forming a hole—known as a cavity—in the tooth.
If left untreated, tooth decay can progress into the pulp, the innermost part of the tooth that contains nerves and blood vessels, leading to significant pain, swelling, infection, and potentially tooth loss. For this reason, early detection and timely treatment are essential.
Factors Contributing to Cavities
Several elements can lead to tooth decay and subsequent cavity formation, including:
- Inadequate oral hygiene
- Frequent consumption of sugary or acidic foods and beverages
- Dry mouth conditions
- Genetic predisposition
- Age
How Cavities Progress Visually (By Stage)

The specific stage of tooth decay and the cavity's location will influence its appearance. Some cavities are readily identifiable, while others may only be discernible via a dental X-ray.
Here's an overview of the different signs you might observe at each stage of tooth decay:
- Demineralization The earliest signs of tooth decay often manifest as small, white spots on the tooth's surface. These spots may appear chalky, particularly when your mouth is dry. This phase, known as demineralization, indicates that the minerals in your enamel are beginning to dissolve due to acid exposure, thereby weakening the enamel.
- Enamel Breakdown As tooth decay progresses, the white spots may darken, turning yellow or brown. You may also notice a small pit or rough area when running your tongue over the tooth. At this stage, ongoing demineralization has weakened the enamel, leading to loss of enamel structure and the formation of an early cavity. Without treatment, the decay will continue to spread and move deeper into the tooth.
- Dentin Decay You might not have experienced significant discomfort or the characteristic toothache of dental decay until now. However, as the cavity reaches your dentin the softer, more porous layer beneath the enamel you may start to feel sensitivity and pain. At this stage, the cavity typically appears as a visible hole in your tooth, often dark and black.
- Pulp Damage As decay progresses deeper into the tooth, it can eventually reach the pulp, the innermost layer that contains nerves and blood vessels. At this stage, pain often becomes more severe and may be accompanied by swelling. Cavities that involve the pulp are typically large and dark, and you may even be able to feel the hole with your tongue. In addition to visible damage, symptoms often include sensitivity to hot and cold. Cold stimuli in particular may trigger sharp pain that lingers for several seconds before subsiding. Sudden, electric like jolts of pain are also common and may occur spontaneously, sometimes even waking you up at night.
- Abscess Formation The pulp is connected to the tooth’s root and contains nerves and blood vessels. When tooth decay reaches this area, it can lead to infection. As bacteria multiply, an abscess, or pocket of pus, may form either within the tooth or in the surrounding gum tissue. An untreated dental abscess can cause significant pain, swelling, and fever. In more serious cases, it may lead to complications such as bone loss around the affected tooth or the spread of infection to other parts of the body.
- Swelling around the affected tooth or along your jawline
- Redness and tenderness in the gums
- A small, raised bump on your gum near the affected tooth
- Throbbing pain
- A foul taste in your mouth (due to pus drainage)
Cavity Treatment Options

Now that you understand how cavities appear, let's explore their treatment.
Filling
For small to moderate cavities, a filling is the most common treatment. During this procedure, the dentist first removes the decayed portion of the tooth. The resulting space is then filled with amalgam (a metal alloy) or composite resin (a tooth-colored plastic and glass mixture). This process helps prevent further decay and strengthens the tooth.
Crown
For larger cavities, a crown might be necessary. A crown is a custom-fitted cap that completely encases the affected tooth, providing enhanced strength and protection.
Root Canal
If decay reaches the tooth’s pulp, your dentist may recommend a root canal to remove the infection and help save the tooth. During the procedure, the area around the tooth is numbed for comfort. A small opening is then made to access the inside of the tooth, allowing the infected tissue and bacteria to be gently removed. The dentist carefully cleans and shapes the inner canals before filling and sealing them to prevent future infection.
Tooth Extraction
For severe cavities where the tooth is too damaged to be saved, extraction is the final option. An extraction completely removes the infected tooth. Your dental professional can then discuss replacement options, such as a bridge or implant.
Cavity Prevention
While cavities are common, they are also highly preventable. Here are some strategies for maintaining healthy teeth and minimizing decay:
- Brush with an electric toothbrush, which can remove more plaque than a manual toothbrush.
- Choose a dentist-recommended toothpaste containing stannous fluoride to help remineralize your enamel and protect against cavities.
- Floss daily to remove plaque and food particles trapped between your teeth.
- Visit your dentist for regular cleanings and routine check-ups to detect potential issues early.
Maintain Optimal Oral Health with Crest & Oral-B

Here are a few suggestions to help establish a regular, effective routine for preventing cavities.
- Use Crest Pro-Health Advanced Deep Clean Toothpaste, formulated with patented stannous fluoride. It helps strengthen teeth and neutralize plaque bacteria that can lead to tooth decay and tartar.
- Another way to boost your cavity protection is to rinse with a sodium fluoride mouthwash, such as Crest Pro-Health Multi-Protection.
- To help prevent tooth decay and reduce your risk of developing gum disease by removing plaque, floss your teeth at least once daily with Oral-B floss, ensuring you clean around every tooth.
- Try switching to an electric toothbrush, such as the Oral-B iO electric toothbrush, which protects teeth and gums from the leading causes of tooth decay, and signs of early gum disease.
- The right toothbrush head, such as the Oral-B iO Ultimate Clean brush head, effectively removes plaque and features different bristle lengths that reach deep into the spaces between your teeth, where plaque bacteria often hide.
TABLE OF CONTENTS

TABLE OF CONTENTS
WE RECOMMEND
FAQs

How do I identify if I have a cavity?
Common cavity symptoms include:
• Discomfort when eating or drinking
• Tooth sensitivity to hot, cold, or sweet foods
• Pain during biting
• Visible spots or holes on the tooth's surface
It's important to recognize that many cavities, especially in their early stages, are imperceptible to the naked eye and may require dental X-rays for detection, particularly when they are not visible during a routine exam. If you experience any of these symptoms, schedule an appointment with your dentist for evaluation and treatment.
• Discomfort when eating or drinking
• Tooth sensitivity to hot, cold, or sweet foods
• Pain during biting
• Visible spots or holes on the tooth's surface
It's important to recognize that many cavities, especially in their early stages, are imperceptible to the naked eye and may require dental X-rays for detection, particularly when they are not visible during a routine exam. If you experience any of these symptoms, schedule an appointment with your dentist for evaluation and treatment.

How long does it take for a cavity to develop?
Because each person's oral environment is unique, the time it takes for a cavity to form varies. Some cavities can develop within weeks or months, while others may take years. Regular dentist visits facilitate early detection and help prevent new cavities.

Can a cavity reverse itself or disappear on its own?
No, a cavity will not resolve on its own. However, early-stage tooth decay (before a full cavity forms) may be reversible with fluoride and proper oral hygiene. Once decay penetrates the enamel, it becomes irreversible and requires professional treatment.

What are the treatment options for a cavity?
Your dentist will diagnose and recommend a treatment plan tailored to the extent of the decay. For initial-stage cavities, a filling is the most common treatment. Other interventions include crowns, root canals, and extractions for more advanced cases.
Sources
- https://medlineplus.gov/toothdecay.html
- https://www.fda.gov/medical-devices/dental-amalgam-fillings/treatment-options-dental-caries
- https://www.veteranshealthlibrary.va.gov/Encyclopedia/3,84673
- Grender, J., et al. (2020). An 8-week randomized controlled trial comparing the effect of a novel oscillating-rotating toothbrush versus a manual toothbrush on plaque and gingivitis. International Dental Journal, 70, S7–S15. https://doi.org/10.1111/idj.12571
- Hu, P., et al. (2024). The Effect of Oral Care Product Ingredients on Oral Pathogenic Bacteria Transcriptomics Through RNA-Seq. Microorganisms, 12(12), 2668. https://doi.org/10.3390/microorganisms12122668
- Terézhalmy, G. T., et al. (2008). Plaque-removal efficacy of four types of dental floss. Journal of Periodontology, 79(2), 245–251. https://doi.org/10.1902/jop.2008.070345


